...

dr Eldin Ljevo: Hollywood smile vodič za pacijente

HOLLYWOOD SMILE je termin koji se odnosi na zube koji su savršeno bijeli, ravni i proporcionalni, slični onima koje imaju filmske zvijezde. To je kompletna transformacija Vašeg osmijeha u onaj koji je spreman za crvene tepihe. Hollywood smile je personalizovan tretman, pacijentu se pristupa individualno, a proces izrade traje između 7-10 dana. 

Prva posjeta

Nakon inicijalnog pregleda pacijentu smo predočili opcije i mogućnosti, te ga upoznali sa vremenom trajanja izrade samog tretmana. Poštujući želju pacijenta da ima savršeno bijele, ravne i proporcionalne zube, napravili smo plan terapije koji se zasniva na esetskoj indikaciji. Imajući u vidu da smo tokom pregleda i rendgen analize ustanovili da su neki zubi prethodno endodontski tretirani (i da su posljedično tome promijenili boju) i da u ustima pacijenta postoje zubi koje je potrebno endo tretirati, odlučili smo se na cirkonijum krunice u preparaciji zuba na stepenik. Zatim smo uzeli otiske gornje i donje vilice u alginatu kako bi izradili anatomske tj. situacione modele. Analizirajući iste donijeli smo detaljan plan terapije za narednu posjetu kada počinjemo sa procesom transformacije osmijeha pacijenta u Hollywood smile. 


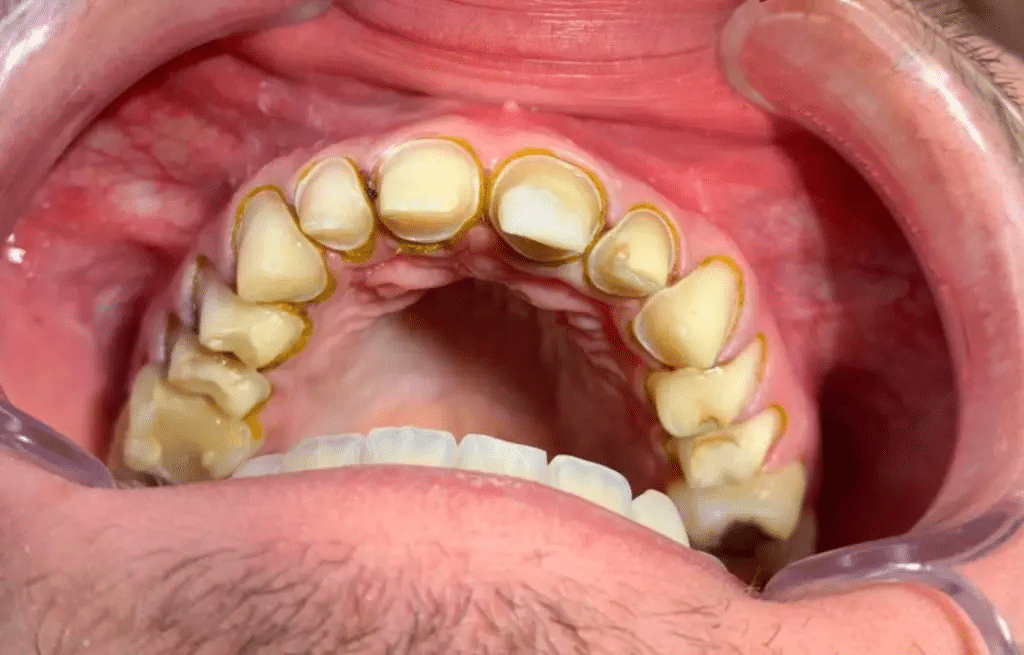
Druga posjeta – preparacija zuba na stepenik

Druga posjeta pacijenta započinje davanjem anestezije za zube koje brusimo. Za brušenje zuba na zaobljenu stepenicu koristimo odgovarajuće borere, različite širine i granulacije. Zube brusimo na način da zub bude cervikalno najširi, a prema incizalno/okluzalno plohe zuba da budu blago okomite jedna prema drugoj kako bi se izbjegla podminirana mjesta na zubu koja će onemogućiti nalijeganje buduće navlake na stepenicu i ugroziti rubno zaptivanje buduće navlake.

Stepenica treba da bude kontinuirana i iste širine. Stepenicu prvo pozicioniramo u nivou gingive, zatim postavimo retrakcioni konac u sulkus zuba i sačekamo da se gingiva retrahuje tj. povuče, pa stepenicu spustimo pola milimetra tako da rub buduće navlake bude ispod nivoa gingive. Ovo radimo zbog estetskog efekta. Kada smo spustili stepenicu 0.5-1 mlimetar ispod nivoa gingive, stavljamo drugi konac veće debljine i pristupamo uzimanju definitivnog otiska. Otisak se uzima A-silikonom na način da prvo odaberemo kašiku odgovarajuće veličine u koju nanosimo prvu masu i otiskujemo vilicu pacijenta. Zatim sačekamo par minuta dok se masa stvrdne, vadimo otisak iz usta pacijenta, operemo ga i posušimo pusterom.

U ovaj otisak nanosimo drugu masu tečnije konzistencije (korekturna masa), dok istovremeno skidamo retrakcioni konac oko zuba. Kada su konci skinuti i naglašeni sulkusi unosimo kašiku sa prvim otiskom i korekturnom masom i ponovo otiskujemo. Sačekamo 5 minuta da se korekturna masa veže i izvadimo otisak iz usta pacijenta. Ovaj otisak se naziva dvostruki korekturni otisak. Na otisku provjerimo da li su svi zubi dobro otisnuti i da li se vidi svaki stepenik. Nakon uzimanja otiska, registrujemo zagriz i zajedno sa pacijentom odredimo boju budućih navlaka. Nakon sto smo odredili boju pristupamo izradi privremenih navlaka i time završavamo drugu posjetu.

Treća posjeta – proba cirkona

U ovoj posjeti vršimo probu full anatomic cut back cirkonskih krunica bez glazure. Provjeravamo rubno zaptivanje krunica, tj. gledamo da li krunica čitavim obimom naliježe na stepenik zbrušenog zuba. Debljina ruba cirkonske krunice ne smije biti deblja od samog stepenika zbrušenog zuba tako da se pri prelasku sondom sa kruničnog na zubni dio ne osjeti otpor (“zapinjanje sonde”). Nakon što smo provjerili odnos zub/krunica pristupimo provjeravanju i eventualnoj artikulaciji zagriza. U ovoj posjeti pacijent prvi put vidi izgled svog budućeg osmijeha. Nakon zajedničkog analiziranja oblika boje i veličine zuba evidentiramo eventualne potrebne korekcije po želji pacijenta. Nakon toga slikamo pacijenta sa i bez ekartera iz različitih uglova. Ove fotografije koristmo za internu upotrebu da bi zajedno sa kolegama iz laboratorija dizajnirali finalni izgled “Hollywood smile” osmijeha.

Četvrta posjeta – definitivno cementiranje

Nakon korekcije krunica i nanesene glazure krunice su dobile svoj blještavi sjaj i spremne su za definitivno cementiranje. Cementiranje se izvodi predhodno određenim redoslijedom te unešenjem cementa posebno u svaku krunicu i u konačnici stavljanjem krunice na zbrušeni zub. Zatim pristupamo uklanjanu viška cementa i čišćenju zuba kako bismo pacijentu predstavili konačni izgled “Hollywood smile” osmijeha. 

Treba napomenuti da je izrada protetskog rada zajedničko djelo doktora i tehničara kao i svih ostalih kolega koji učestvuju u njegovom kreiranju. Jako je bitna komunikacija doktor-tehničar, što je ona bolja, što postoji veća doza razumijevanja, prihvatanja mišljenja i sugestija s obje strane to u konačnici rezultira maksimalnim rezultatima koje očekujemo i mi, a i sam pacijent.  

Zakažite termin u našoj ordinaciji

Picture of dr Eldin Ljevo
dr Eldin Ljevo

Sadržaj

Zakažite svoj besplatan pregled

Pon - Pet 09:00 - 19:00
Subota 11:00 - 17:00
Nedjelja Neradni dan
Mob / Tel: 062 679 212 / 033 840 341
E-mail: dr.ljevo@gmail.com
Adresa: Dzemala Bijedica 160i, Sarajevo
Seraphinite AcceleratorOptimized by Seraphinite Accelerator
Turns on site high speed to be attractive for people and search engines.